Les douleurs liées aux activations de l’appareil
Pendant quelques jours après la pose d’un appareil, et surtout d’un appareil fixe, il est normal de ressentir une sensibilité voire une douleur dentaire qui se manifeste lors des pressions sur les dents.
Ce n’est pas un signe d’alerte, c’est l’inflammation qui signe que vos dents réagissent positivement aux contraintes exercées par l’appareil. Nous faisons tout pour minimiser cette inflammation, notamment par l’emploi de fils à action très douce et physiologique, et en respectant les différentes étapes de la correction orthodontique.
Néanmoins, ces douleurs rendent pendant quelques jours les repas difficiles, nous préconisons une alimentation plutôt molle.
La prise d’un antalgique simple est possible, le même que celui que vous prendriez pour un mal de tête par exemple. Dans ce cas, il conviendra de le prendre une demi-heure avant le repas, et c’est pourquoi la prise d’anti-inflammatoire ou d’aspirine est déconseillée.
Lors des rendez-vous de contrôle ultérieurs, il peut arriver que ces douleurs réapparaissent, mais globalement ces désagréments s’améliorent en cours de traitement.
Les dents bougent !
Pas d’inquiétude, sous l’effet des appareils, les dents deviennent un peu plus mobiles, et c’est justement cette « souplesse » qui prouve qu’elles s’alignent bien.
Elles reprendront toute leur fermeté dès que le traitement sera terminé.
L’appareil fixe est cassé : attache décollée, arc fracturé, bague descellée
Dans tous les cas, prévenez le secrétariat de l’incident, afin que nous puissions juger de sa gravité et de la nécessité ou non de vous donner un rendez-vous d’urgence. En prévenant à l’avance, il sera possible de planifier une réparation dès le rendez-vous suivant.

Une bague (cercle complet autour d’une molaire) descellée peut se remettre facilement en place, mais attention : n’étant plus collée correctement, les bactéries peuvent au fil du temps causer des caries sous la bague, donc prévenez toujours le praticien si une bague ne tient plus correctement.
Si le fil est cassé à un endroit, essayez sans forcer de retirer au moins le plus petit morceau, afin d’éviter de l’avaler. S’il tient bien, ne forcez pas. Si une extrémité du fil fracturé vient piquer la joue, vous pouvez essayer de la couper plus court avec un coupe-ongle bien nettoyé en attendant que nous arrangions la situation.
Si vous portez selon nos consignes des élastiques intermaxillaires, il faut impérativement arrêter le port de ces élastiques lorsque l’appareil est endommagé, sous peine de voir des mouvements dentaires non désirés se produire, qui nécessiteront du temps à re-corriger…
N’oubliez pas que certaines habitudes sont à proscrire lorsqu’un appareil fixe est en place : il faut arrêter de se ronger les ongles, de mordre crayons et stylos, et bien sûr éviter les aliments défendus car trop collants (chewing-gum, bonbon mou, caramel…) ou trop croquants (croûte de pain, fruits à coque, fruits et légumes croquants qu’il faut consommer tranchés ou râpés…)
Une partie de l’appareil dentaire blesse les tissus mous
Surtout juste après la pose d’un appareil dentaire fixe ou amovible, et le temps que joues et lèvres s’adaptent à ce relief nouveau, il peut arriver que les muqueuses soient blessées, occasionnant des douleurs. Si cela ne passe pas au bout de quelques jours, reprenez un rendez-vous pour adapter l’appareil.
Pour un aphte lié au contact de l’appareil fixe, recouvrez l’attache blessante d’une petite boule de cire orthodontique qui vous a été fournie lors de la pose. Si vous la perdez ou l’avalez, ce n’est pas grave mais remplacez-la jusqu’à guérison de l’aphte, il ne devrait pas réapparaître ensuite.
L'appareil dentaire amovible est cassé ou perdu
Afin de le protéger lorsqu’il n’est pas en bouche et de ne pas le perdre, tout appareil dentaire amovible vous est fourni avec une boîte de rangement adaptée. Lorsque vous ne portez pas votre appareil, celui-ci doit être dans sa boîte, si possible déjà nettoyé et séché.
Par exemple, n’emballez jamais un appareil dans une serviette en papier posée sur la table du restaurant, ne le mettez jamais simplement dans une poche, ou ne le laissez pas à portée d’un chien qui adorera se faire les dents dessus !
Si malgré ces conseils votre appareil dentaire devait être endommagé ou perdu, ne tardez pas à prendre contact avec notre secrétariat, car non porté, un appareil de contention ne peut plus préserver l’alignement de vos dents, et un appareil actif ne peut plus maintenir ni améliorer les résultats… Si vous ne reprenez pas rapidement contact avec nous, il peut même arriver que tout l’appareil soit à refaire et qu’une partie des résultats acquis soit perdue.
L'appareil dentaire amovible ne tient plus
Il est possible qu’une mauvaise manipulation ait déformé l’appareil ou les crochets qui le tiennent aux dents. Dans ce cas, revenez au plus vite faire contrôler l’appareil, si possible sans arrêter de le porter complètement.
Pourtant, dans la majorité des cas, c’est un port incorrect de l’appareil par rapport aux consignes qui vous ont été données dans notre cabinet d’orthodontie de Strasbourg – Schiltigheim, qui est la cause d’une problème de tenue. En effet, l’appareil amovible agit sur les dents et maintient également les résultats obtenus, un port insuffisant voire un arrêt du port provoque alors une récidive des dents : elles se re-déplacent, et donc l’appareil ne peut plus être mis en position correcte.
Si c’est un appareil dentaire de contention, ne tardez pas à revenir en consultation afin de le faire réajuster. A défaut, vous risquez de voir vos dents continuer un peu leur déplacement, et donc d’obtenir un résultat moins satisfaisant.
Si c’est un appareil actif, qui comporte alors en général un « vérin », cette petite vis à tourner pour activer régulièrement l’appareil, il est probable soit que le temps de port ait été insuffisant, soit que l’appareil ait été trop activé. L’appareil est alors trop large pour des dents qui n’ont pas suivi le mouvement ou bien qui ont récidivé, et donc il ne se met plus correctement en place.
Exceptionnellement, donnez trois tours de vis à l’inverse de la flèche, essayez l’appareil :
- Il rentre mieux ? Reprenez le port mais en respectant plus scrupuleusement les consignes de port.
- ll ne tient toujours pas mieux ? Prenez contact avec le secrétariat, sans chercher à activer/désactiver plus.
- Petite exception : si l’appareil qui ne tient pas est la partie du bas d’un «appareil de Planas », il faut essayer de l’activer un tour de plus, car celui-ci ne tient bien que quand il s’insère sous légère pression entre les dents.
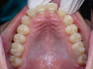
Le syndrome du fil collé
Le « syndrome du fil » est une complication peu fréquente du port d’un fil de contention, collé à l’arrière des dents antérieures à la fin du traitement orthodontique. Ce n’est pas du tout une récidive des malpositions. Suite à une déformation du fil qui est toujours bien collé à leur face linguale, les dents vont subir des mouvements non désirés, parfois importants.
La phrase « je porte un fil collé, je suis tranquille » est loin d’être vraie, car le patient va vivre avec ce fil, fonctionner, mastiquer, croquer, et donc risquer de créer ainsi un déplacement dentaire dû aux contraintes sur le fil collé.
Comment se manifeste le syndrome du fil, et comment réagir?
- D’abord en respectant les consignes de ne pas croquer d’aliments durs (pomme ou carottes à pleines dents, sandwich croustillant…) avec les dents de devant lorsque vous portez un fil collé.
- Si cela vous arrive et que vous déformez votre fil, vous ressentirez un pression plus ou moins discrète sur une ou plusieurs dents porteuses du fil: le fil appuie sur vos dents.
- Le lendemain et durant quelques jours, une légère douleur peut se manifester sur ces dents, sans forcément qu’elles aient l’air d’avoir bougé: la pression crée une réaction inflammatoire. Puis la douleur disparaît.
- Après plusieurs jours voire semaines, le déplacement se produit.
Venez consulter au plus vite lorsque vous ressentez ces symptômes après avoir forcé sur le fil collé. Le retrait du fil au plus vite permet d’éviter les déplacements, ou un ré-alignement partiel si les dents ont déjà commencé à se déplacer.
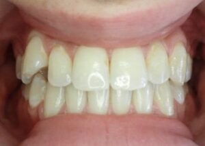
Syndrome du fil sur une canine maxillaire
Syndrome du fil sur les incisives maxillaires




