Contrairement à une vieille croyance, il ne faut pas attendre que toutes les dents de lait soient tombées pour consulter un orthodontiste ! Et il n’y a pas besoin d’être adressé par son médecin ou son dentiste avant, l’orthodontie est en accès direct.
La plupart des décalages et anomalies de la croissance des os de la face se corrigent avant 10 ans, donc bien avant que toutes les dents de lait ne soient tombées… Et quand par exemple des mâchoires trop étroites empêchent les dents définitives de faire leur éruption, les dents de lait ne tombent souvent pas normalement.
Nous sommes également très impliqués dans le dépistage des apnées du sommeil, dont les conséquences chez le jeune enfant sont parfois lourdes de conséquences sur la santé, la vie familiale ou la réussite scolaire.
UN TRAITEMENT ORTHODONTIQUE N'EST PAS RESERVE AUX ADOLESCENTS MAIS PEUT ÊTRE ENVISAGE À TOUS LES ÂGES DE LA VIE
Chez les très jeunes enfants, avant 6 ans, l’objectif est de retrouver des fonctions faciales normales et efficaces. La respiration, la déglutition et la position de la langue, la mastication, la posture de la tête et du corps, sont autant de facteurs puissants qui peuvent contribuer à la bonne croissance du visage, ou au contraire la perturber de manière parfois importante. Bien sûr, c’est aussi un âge où nous incitons l’enfant à se passer de sa tétine ou de son pouce.
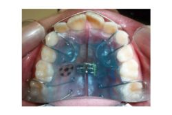
Quand parfois des anomalies marquées de la croissance l’imposent, nous proposons des appareils adaptés à nos plus jeunes patients.
Cette prise en charge précoce vise ainsi à rétablir un bon fonctionnement de la face et une croissance harmonieuse du visage, pour favoriser l’éruption esthétique et fonctionnelle des dents d’adulte.
Chez les enfants entre 6 et 11 ans, le but de l’orthodontie est principalement de corriger les dysmorphoses osseuses de la face, liées soit à des malformations congénitales, soit plus souvent à des dysfonctions et parafonctions (problèmes de respiration, de mastication, de position de la langue, de posture, de succion du pouce ou de la tétine…). C’est l’orthopédie dento-faciale et fonctionnelle. Les appareils dentaires sont les plus souvent amovibles, à porter à la maison.
A cet âge, la forme et les dimensions du visage sont en très grande partie définies, les objectifs sont maintenant de permettre l’éruption des dernières dents définitives, de les aligner pour obtenir un sourire esthétique et radieux pour mieux aborder la vie d’adulte, avec une occlusion dentaire fonctionnelle et efficace.
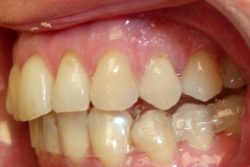
C’est la période de l’orthodontie, avec des appareils fixes collés sur les dents ou des aligneurs amovibles et invisibles.
Chez les adultes, l’orthodontiste a également un large champ d’action.
Orthodontie esthétique et fonctionnelle
Pour aligner les dents, avoir enfin un sourire esthétique et mettre toutes les chances de son côté pour conserver au long terme le résultat obtenu. Les appareils se font discrets, voire invisibles, en toute efficacité. Et il n’y a pas de limite d’âge pour retrouver le sourire!
Orthodontie combinée à la chirurgie maxillo-faciale
Pour préparer les patients porteurs d’anomalies osseuses plus marquées ou de fentes labio-palatines (FLP) à une chirurgie maxillo-faciale (traitement ortho-chirurgical), avec prise en charge partielle du traitement par la Sécurité Sociale.
Orthodontie pré-prothétique
Pour redresser l’axe des dents avant un pont ou un implant, ressortir une racine cassée trop profondément avant de la couronner, de remettre au même niveau les dents d’une arcade pour une meilleure prothèse, ou de retrouver la position physiologique de la mandibule avant des prothèses de grande portée.
Nous nous efforçons de minimiser l’appareillage pour le rendre discret et confortable.
Gouttières ATM
Les gouttières de désengrènement sont des appareils amovibles avec une base semblable aux gouttières de contention, mais qui sont plus épaisses et qui libèrent l’arcade mandibulaire de tout emboîtement occlusal.
Elles sont indiquées soit pour prévenir les effets néfastes du bruxisme (le fait de grincer ou serrer fort les dents durant le sommeil) : usures dentaires, fatigue musculaire faciale ou articulaire, soit plus spécifiquement les troubles de l’ATM, l’articulation entre la mandibule et le crâne, qui peuvent être une combinaison de claquements, douleurs, blocages ou limitation de mouvements.
Souvent, depuis notre cabinet d’orthodontie proche de Strasbourg, nous collaborons avec votre ostéopathe ou votre kinésithérapeute dans le cadre des douleurs de l’ATM ou de troubles physiques plus généraux. La surface lisse de la gouttière permet à la mandibule de se recentrer dans sa position physiologique naturelle, sans le repère des dents opposées qui peut être la cause de tensions musculaires et compressions articulaires, et par là d’un éventail très large de symptômes : migraines, cervicalgies, anomalies de posture, acouphènes, difficultés d’accommodation oculaires…
Orthèses d’avancée mandibulaire
Les orthèses d’avancée mandibulaire sont une alternative au traitement des ronflements et apnées du sommeil par PPC. Elles peuvent être réalisées soit sur prescription d’un médecin spécialiste du sommeil après polysomnographie ventilatoire, soit sans ordonnance pour une orthèse de propulsion plus fine et adaptée que celles vendues en pharmacie.
L’orthèse est amovible et se porte pour dormir, elle est composée de deux gouttières (pour les arcades du haut et du bas), reliées par des biellettes, petites tiges articulées qui positionnent les dents du bas plus en avant mais vous permettent de faire d’autres mouvements avec votre mandibule comme ouvrir la bouche et parler.





